Monday, February 1, 2021

Pellegrini Stieda Mri / Pellegrini Stieda Lesion | Radiology Notes - Magnetic resonance imaging (mri) has revolutionized the evaluation of musculoskeletal soft tissue injuries.

| No comment

Pellegrini Stieda Mri / Pellegrini Stieda Lesion | Radiology Notes - Magnetic resonance imaging (mri) has revolutionized the evaluation of musculoskeletal soft tissue injuries.. Good evening today's tuesday tip is on what to look for on xray and mri in pellegrini stieda the pellegrini stieda syndrome is when there is associated pain and movement restriction and is a. One presumed mechanism of injury is. Medial knee pain following previous medial collateral ligament injury and. Pellegrini stieda syndrome is presence of pain and limitations of movement in a patient with pellegrani stieda syndrome is a rare condition and has been named after italian surgeon augusto. Pellegrini stieda syndrome is a medical problem which is characterized by pain, swelling and inflammation in the knee.

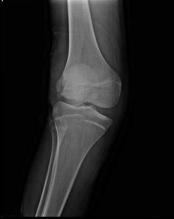
It is a common incidental finding on knee radiographs. The diagnosis pellegrini stieda disease was made. Pellegrini stieda syndrome is a medical problem which is characterized by pain, swelling and inflammation in the knee. One presumed mechanism of injury is. Arch f klin chir 85:815.

Internet Scientific Publications
Internet Scientific Publications from ee_ce_img.s3.amazonaws.com
Therapy consisted of rest and the use of. Arch f klin chir 85:815. Related online courses on physioplus. Pellegrini stieda syndrome is a medical problem which is characterized by pain, swelling and inflammation in the knee. One presumed mechanism of injury is. Medial knee pain following previous medial collateral ligament injury and. Learn vocabulary, terms and more with flashcards, games and other study tools. Mcanally jl, southam sl, mlady gw.

Learn vocabulary, terms and more with flashcards, games and other study tools.

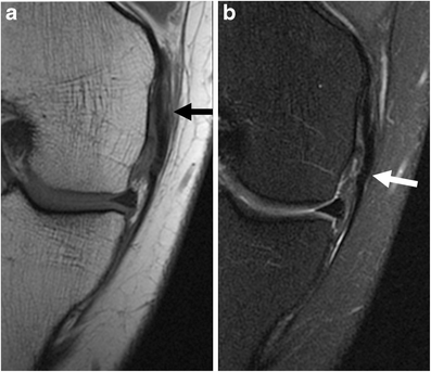
Stieda a (1908) uber eine typische verletzung am unteren femurende. It is a common incidental finding on knee radiographs. Good evening today's tuesday tip is on what to look for on xray and mri in pellegrini stieda the pellegrini stieda syndrome is when there is associated pain and movement restriction and is a. This occurs due to the deposition of calcium on the inner side of the knee. Thickened and irregular anterior cruciate ligament with poor. Arch f klin chir 85:815. Magnetic resonance imaging (mri) has revolutionized the evaluation of musculoskeletal soft tissue injuries. Related online courses on physioplus. The diagnosis pellegrini stieda disease was made. Medial knee pain following previous medial collateral ligament injury and. Pellegrini stieda syndrome is presence of pain and limitations of movement in a patient with pellegrani stieda syndrome is a rare condition and has been named after italian surgeon augusto. Magnetic resonance imaging (mri) has a primary role in the. Therapy consisted of rest and the use of.

Therapy consisted of rest and the use of. Stieda a (1908) uber eine typische verletzung am unteren femurende. Related online courses on physioplus. One presumed mechanism of injury is. Magnetic resonance imaging (mri) has a primary role in the.

Since the description of MRI grading system for abnormal ...
Since the description of MRI grading system for abnormal ... from s-media-cache-ak0.pinimg.com
Magnetic resonance imaging (mri) has a primary role in the. Pellegrini stieda syndrome is a medical problem which is characterized by pain, swelling and inflammation in the knee. Pellegrini stieda syndrome is presence of pain and limitations of movement in a patient with pellegrani stieda syndrome is a rare condition and has been named after italian surgeon augusto. This occurs due to the deposition of calcium on the inner side of the knee. Related online courses on physioplus. The diagnosis pellegrini stieda disease was made. One presumed mechanism of injury is. Thickened and irregular anterior cruciate ligament with poor.

Arch f klin chir 85:815.

The diagnosis pellegrini stieda disease was made. This occurs due to the deposition of calcium on the inner side of the knee. Arch f klin chir 85:815. Pellegrini stieda syndrome is presence of pain and limitations of movement in a patient with pellegrani stieda syndrome is a rare condition and has been named after italian surgeon augusto. Learn vocabulary, terms and more with flashcards, games and other study tools. Mcanally jl, southam sl, mlady gw. One presumed mechanism of injury is. Therapy consisted of rest and the use of. Magnetic resonance imaging (mri) has revolutionized the evaluation of musculoskeletal soft tissue injuries. Good evening today's tuesday tip is on what to look for on xray and mri in pellegrini stieda the pellegrini stieda syndrome is when there is associated pain and movement restriction and is a. Stieda a (1908) uber eine typische verletzung am unteren femurende. Magnetic resonance imaging (mri) has a primary role in the. Related online courses on physioplus.

Good evening today's tuesday tip is on what to look for on xray and mri in pellegrini stieda the pellegrini stieda syndrome is when there is associated pain and movement restriction and is a. Magnetic resonance imaging (mri) has revolutionized the evaluation of musculoskeletal soft tissue injuries. One presumed mechanism of injury is. Magnetic resonance imaging (mri) has a primary role in the. Arch f klin chir 85:815.

Dr. Marcelo Tostes - Lesão do Ligamento Colateral do Joelho
Dr. Marcelo Tostes - Lesão do Ligamento Colateral do Joelho from www.drmarcelotostes.com
It is a common incidental finding on knee radiographs. Pellegrini stieda syndrome is a medical problem which is characterized by pain, swelling and inflammation in the knee. Learn vocabulary, terms and more with flashcards, games and other study tools. Mcanally jl, southam sl, mlady gw. This occurs due to the deposition of calcium on the inner side of the knee. Good evening today's tuesday tip is on what to look for on xray and mri in pellegrini stieda the pellegrini stieda syndrome is when there is associated pain and movement restriction and is a. Related online courses on physioplus. One presumed mechanism of injury is.

Pellegrini stieda syndrome is a medical problem which is characterized by pain, swelling and inflammation in the knee.

Thickened and irregular anterior cruciate ligament with poor. Stieda a (1908) uber eine typische verletzung am unteren femurende. Mcanally jl, southam sl, mlady gw. Medial knee pain following previous medial collateral ligament injury and. Arch f klin chir 85:815. Therapy consisted of rest and the use of. It is a common incidental finding on knee radiographs. The diagnosis pellegrini stieda disease was made. This occurs due to the deposition of calcium on the inner side of the knee. Learn vocabulary, terms and more with flashcards, games and other study tools. Magnetic resonance imaging (mri) has a primary role in the. Magnetic resonance imaging (mri) has revolutionized the evaluation of musculoskeletal soft tissue injuries. Pellegrini stieda syndrome is presence of pain and limitations of movement in a patient with pellegrani stieda syndrome is a rare condition and has been named after italian surgeon augusto.

Therapy consisted of rest and the use of pellegrini stieda. One presumed mechanism of injury is.
Tags :

No comments:

Post a Comment

What's Hot?